Suchen
Menü
Schließen

Herzklappeneingriffe

Behandlungsmöglichkeiten

Das Herz pumpt im Durchschnitt 7.000 bis 10.000 Liter Blut pro Tag durch unseren Körper.

Im Falle schwerwiegender Herzklappenerkrankungen kann durch Verengung oder Undichtigkeit die Ventilfunktion der Herzklappe nicht mehr wahrgenommen werden. Damit wird die Pumpfunktion des Herzens erheblich gestört und können Symptome wie Luftnot, Kraftlosigkeit, Brustschmerz oder Bewusstlosigkeiten auftreten.

Nach vorangegangener Diagnostik (siehe Herzklappenerkrankungen) ist zu entscheiden, ob eine auf die Herzklappe gezielte Therapie notwendig ist. Schwerwiegende Herzklappenerkrankungen müssen häufig mittels einer herzchirurgischen Operation behandelt werden. In vielen Fällen ist die Herzoperation aus verschiedenen Gründen jedoch nicht möglich oder keine sinnvolle Lösung, so dass eine herzkathetergestützte, d.h. nichtoperative Behandlung zum Einsatz kommt.

Dabei führen wir zur interventionellen Rekonstruktion das „Clippen“ der Mitralklappe und in ausgewählten Fällen der Trikuspidalklappe durch (MitraClip®).

In Kooperation mit dem Herzzentrum Leipzig bieten wir zur Behandlung der verengten Aortenklappe den kathetergestützten Aortenklappenersatz an (TAVI).

Die Entscheidung, welche Therapieform für welche Erkrankung und welchen Patienten die beste ist, wird bei uns in regelmäßigen Herzsitzungen (HeartTeam) getroffen. Hier findet eine interdisziplinäre Fallbesprechung mit erfahrenen Kardiologen und Herzchirurgen statt.

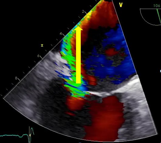
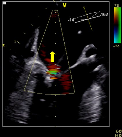
Auf den Bildern sehen Sie eine Echokardiografie vor (01), während (02) und nach (03) einer kathetergestützten Rekonstruktion der Mitralklappe mittels MitraClip®. Der große Pfeil zeigt eine ausgeprägte Undichtigkeit vor dem Eingriff (01). Der rote Kreis markiert die MitraClip-Implantation (02). Und der kleiner Pfeil verdeutlicht eine nur noch geringe Undichtigkeit nach dem Eingriff (03).

Katheterbehandlung bei Herzklappenerkrankungen – minimal-invasiv ohne Operation

Flyer für niedergelassene Kolleg:innen

Informationen zu unserem Zentrum für katheterbasierte
Behandlungen von Herzklappenerkrankungen sowie zur Zertifizierung als Schwerpunktklinik Herzinsuffizienz erhalten Kolleg:innen in unserem Flyer.

pdf | 1 MB