Suchen
Menü
Schließen
Eine Frau steht nachdenklich am Fenster

Myom-Embolisation

Die Myomembolisation, auch Uterusarterienembolisation (UAE) genannt, zählt zu den neueren Therapieformen bei gutartigen Geschwüren der Gebärmutter (Uterusmyome). Sie stellt eine schonende Alternative zu chirurgischen Eingriffen dar und ermöglicht eine schnellere Erholungszeit.

Myomembolisation: Effektive Behandlung bei Myomen und Schmerzlinderung

Die Myomembolisation ist ein minimalinvasives Verfahren zur Behandlung von gutartigen Geschwüren der Gebärmutter, sogenannte Myome. Dabei wird die Blutversorgung der Myome gezielt unterbrochen, indem kleine Partikel in die Arterien injiziert werden, die die Myome versorgen. Dies führt zum Schrumpfen der Myome und lindert Beschwerden und Schmerzen, wie starke Menstruationsblutungen und Unterleibsschmerzen.

 

In Kooperation mit der Frauenklinik bieten wir diesen innovativen Eingriff in unserer interventionellen Radiologie an. Im multiprofessionellem Team sorgen wir dafür, dass sie die bestmögliche Betreuung erhalten.

 

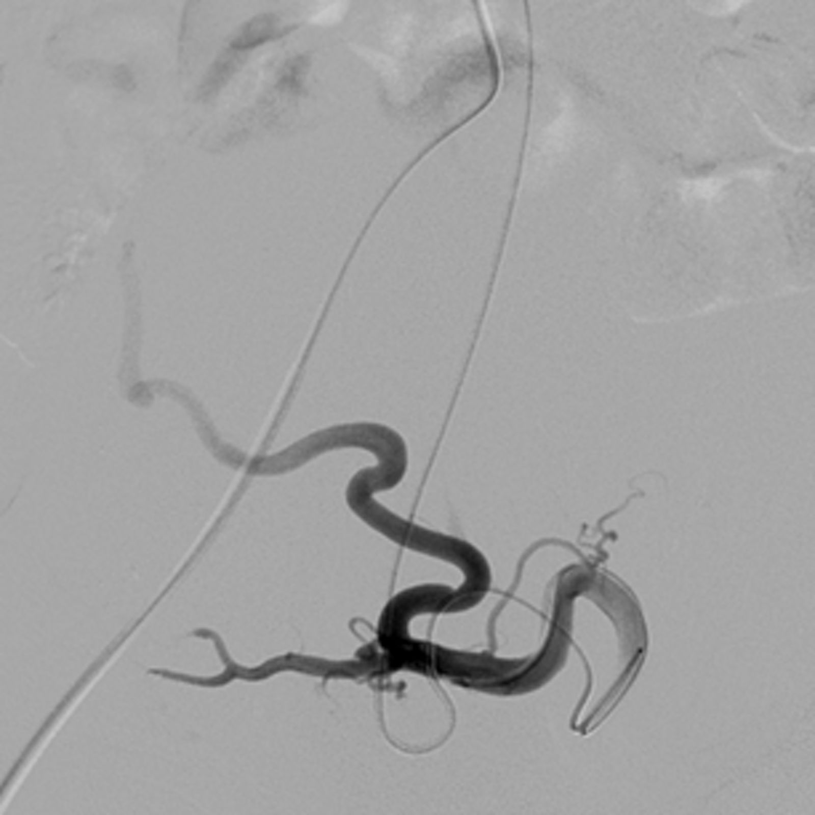
Der Eingriff erfordert nur einen kleinen Einschnitt in der Leistengegend. Unter Röntgenkontrolle führen wir einen Katheter mit einem Durchmesser von weniger als einem Millimeter durch die Blutgefäße zu der Arterie vor, die das Myom mit Blut versorgt. Anschließend wird das Blutgefäß mit winzig kleinen Kunststoffkügelchen verschlossen (embolisiert).

Vorteile der Myom-Embolisation

  • Die Myomembolisation ist eine effektive Behandlungsoption für Frauen, die ihre Gebärmutter erhalten möchten und bei denen andere Behandlungsansätze nicht wirksam waren oder nicht in Frage kommen.
  • Der Eingriff erfolgt unter örtlicher Betäubung der Leiste. Eine belastende Vollnarkose oder ein Bauchschnitt sind nicht erforderlich; der stationäre Aufenthalt gestaltet sich dementsprechend kurz.
  • Auch die Erholungszeit ist in der Regel kürzer als bei traditionellen chirurgischen Eingriffen wie einer Hysterektomie oder Myomektomie.

Vergleich der Myom-Durchblutung vor und nach der Embolisation

Wissens-Check: Die Embolisation einfach erklärt

Gerne beraten unsere Experten Sie persönlich!

Marcus Katoh
Chefarzt des Instituts für Diagnostische & Interventionelle Radiologie | Stv. Ärztlicher Direktor | Helios Klinikum Krefeld
Prof. Dr. med.
Telefon:
Sprechzeiten:

Mo - Mi 09:00 bis 18:00

Do - Fr 09:00 bis 14:00

Sa 09:00 bis 12:00

Peter Schott
Leitender Oberarzt der Radiologie | Helios Klinikum Krefeld
Dr. med.
Telefon:
Sprechzeiten:

Mo - Mi 09:00 bis 18:00

Do - Fr 09:00 bis 14:00

Sa 09:00 bis 12:00

Persönliche Beratung

Telefon:

02151 32-2561

 

Sie erreichen uns 

Mo – Do   von 8 - 16 Uhr
Freitag  von 8 - 14 Uhr

 

Außer an den gesetzlichen Feiertagen.