Menü
Schließen

Ventrikuläre Tachykardie sicher behandeln

Die ventrikuläre Tachykardie (VT) ist eine potenziell lebensgefährliche Herzrhythmusstörung. Sie tritt meist bei Menschen auf, die bereits eine andere Herzerkrankung haben. Wie die VT diagnostiziert und behandelt wird, haben wir in diesem Beitrag zusammengefasst. 

17.11.2022 Lesedauer: - Min. Aktualisiert am 10.11.2025
Medizinisch geprüft von unseren Helios Expert:innen
Ablation von Kammertachykardie mit Herzpumpe
Inhaltsverzeichnis

Was ist eine ventrikuläre Tachykardie?

Die ventrikuläre Tachykardie (VT) zählt zu den medizinischen Notfällen. Bei der auch Kammertachykardie genannten Herzrhythmusstörung tritt eine langanhaltende Reihe von Extraschlägen (siehe Abbildung 1) auf. Dieses Herzrasen kann lebensbedrohlich sein.  

Wie wird eine ventrikuläre Tachykardie diagnostiziert?

Die Lokalisation im Herzen findet unter laufender Herzrhythmusstörung mithilfe eines dreidimensionalen Bildgebungssystems statt. Sobald der Ursprung der Rhythmusstörung ausfindig gemacht wurde, kann eine gezielte Ablationstherapie an dieser Stelle erfolgen (siehe Abbildung 3 und Video).

Wie läuft die Untersuchung ab?

Für die Untersuchung benötigt man neben dem Ablationskatheter drei diagnostische Elektrodenkatheter. Diese werden über die Leistenvenen bis zum Herzen eingeführt. Deshalb werden beide Leisten für diese Untersuchung vorbereitet. Falls eine Herzpumpe notwendig ist, wird diese in der Regel über die linke Oberschenkelarterie bis in die linke Herzkammer gelegt. Die Behandlung wird unter lokaler Betäubung und intravenöser Schmerz- und Sedierungstherapie durchgeführt.

Nach der Behandlung wird für einige Stunden (in der Regel sechs Stunden) ein zirkulärer Druckverband um die Leiste angelegt. Sie werden nach dem Aufwachen auf Ihrer Station mit einem Fernüberwachungsgerät bis zum nächsten Tag überwacht.

Wie wird eine ventrikuläre Tachykardie behandelt?

Nach der Einleitung einer medikamentösen Therapie und/oder der elektrischen Kardioversion (Wiederherstellung des normalen Herzschlags) sollten grundlegende Herzerkrankungen, wie etwa koronare Herzerkrankung, Bluthochdruck (Hypertonie), Herzmuskelentzündung und Herzmuskelschwäche ausgeschlossen oder behandelt werden.

Tritt diese Herzrhythmusstörung trotz optimaler medikamentöser Behandlung und Therapie der Grunderkrankung wiederholt auf, sollte ein Defibrillator eingesetzt und eine Ablationstherapie (Verödung von Herzmuskelgewebe) in Erwägung gezogen werden.

Besonders gut geeignet für die Elektrophysiologische Untersuchung (spezielle Herzkatheteruntersuchung, kurz EPU) und Ablationstherapie sind stabile Kammertachykardien ohne hämodynamische Instabilität (Blutdruckabfall, Schwindel oder Bewusstlosigkeit).

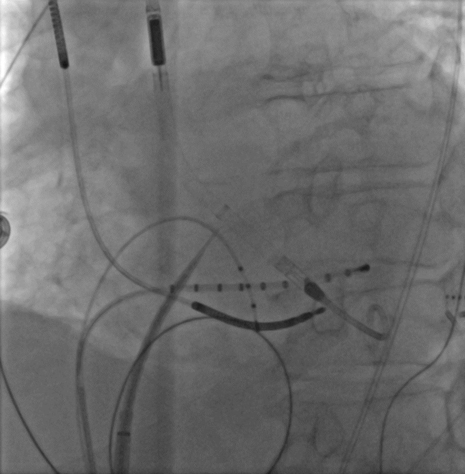
Falls es doch unter der Rhythmusstörung zu einer hämodynamischen Instabilität kommt, dann kommen spezielle Herzpumpen zum Einsatz. Mithilfe dieser Herzpumpen kann der Blutdruck trotz der sehr schnellen Rhythmusstörung aufrechterhalten werden (siehe Abbildung 2).

Was ist nach der Untersuchung zu beachten?

Wir empfehlen Ihnen, nach der Behandlung die Leisten für weitere sieben Tage zu schonen. Um Nachblutungen aus den Leisten zu verhindern, sollten in dieser Zeit folgenden Tätigkeiten vermieden werden:

  • schweres Heben
  • Fahrrad fahren
  • starkes Pressen im Bauch
  • schnelles Laufen
  • Schwimmen 
Termin buchen

Häufige Fragen und Antworten zur Ventrikulären Tachykardie

Was ist eine Ventrikuläre Tachykardie (VT) genau?
 
Unter einer ventrikulären Tachykardie versteht man eine Herzrhythmusstörung, die im Gegensatz zur normalen Erregungsbildung atypisch im Bereich der linken oder rechten Herzkammer entsteht.  Die Herzfrequenz liegt meist über 120/min, in Einzelfällen auch langsamer. 

Wie bemerke ich eine ventrikuläre Tachykardie?

Die ventrikuläre Tachykardie wird durch die hohe Herzfrequenz als Herzrasen beziehungsweise Herzklopfen (Palpitation) wahrgenommen. Weitere mögliche Symptome sind Schwindel, Schwäche, Atemnot, Brustschmerzen und auch Benommenheit. Treten diese Symptome auf: Umgehend den Notruf 112 anrufen. 

Kann eine ventrikulären Tachykardie auch bei herzgesunden Menschen auftreten?

Eine ventrikulären Tachykardie kann auch bei herzgesunden Menschen auftreten – das ist aber sehr selten. Grundsätzlich gilt, dass bei solchen Beschwerden eine ärztliche Abklärung erforderlich ist. 

Wer ist besonders gefährdet?

Eine ventrikuläre Tachykardie tritt häufig bei Personen auf, die bereits an einer Herzerkrankung leiden. Daher sind meist ältere Menschen davon betroffen, Kinder und junge Erwachsene hingegen nur sehr selten. 
 
Welche Herzkrankheiten begünstigen eine VT?

Das Risiko für eine ventrikuläre Tachykardie wird beispielsweise durch die Narbenbildung infolge eines Herzinfarkts, durch eine Herzschwäche (Herzinsuffizienz), die koronare Herzkrankheit (KH) oder eine Herzmuskelentzündung (Myokarditis) erhöht.

Gibt es weitere mögliche Ursachen für eine VT?

Ja. Eine VT kann auch durch eine zu niedrige Konzentration von Kalium oder Magnesium im Blutserum, starke Dehydrierung, manche Medikamente (zum Beispiel bestimmte Antiarrhythmika, Antibiotika, Psychopharmaka), Drogen, viel Alkohol oder große Mengen Koffein/Energy-Drinks begünstigt werden – besonders wenn das Herz eine Vorschädigung aufweist.

Darüber hinaus sind genetische Ursachen wie beispielsweise das Long-QT-Syndrom, das Brugada-Syndrom oder die sogenannte Katecholaminerge polymorphe ventrikuläre Tachykardie (CPVT) möglich. Für betroffene Familien ist eine genetische Beratung sinnvoll.