Suchen
Menü
Schließen
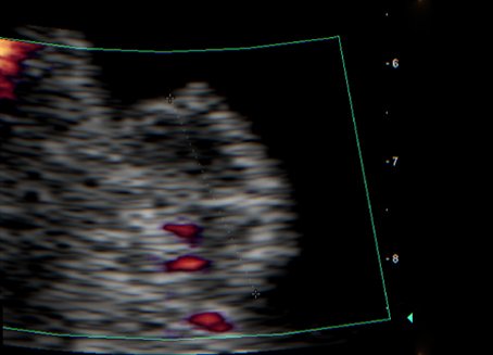
Ultraschallaufnahme Harnblasentumor

Ultraschallkurs

Wir bieten für Medizinstudenten ab dem 5. Semester sowie interessierte Assistenz- und Fachärzte einen Ultraschallkurs nach individueller Vereinbarung für zwei bis sechs Teilnehmer an. Nach kurzer theoretischer Einführung zur Sonografie, Dopplersonografie und zur Anwendung von Ultraschallkontrastmitteln werden zunächst ca. 100 Ultraschallsequenzen (kurze Videoclips) von Normal- und pathologischen Befunden demonstriert und nachfolgend gegenseitige Untersuchungen bzw. Untersuchungen an Patienten mit typischen urologischen Befunden durchgeführt.

Title
Description

Anmeldungen bitte nach telefonischer Rücksprache mit dem Chefsekretariat der Klinik für Urologie und Kinderurologie, Frau Holtfreter:

Anja Holtfreter
Chefarztsekretärin | Helios Klinikum Aue
Telefon:
Sprechzeiten:

Mo - Mi 09:00 bis 18:00

Do - Fr 09:00 bis 14:00

Sa 09:00 bis 12:00